जिला हॉस्पिटल बलौदाबाजार में जल्द ही मिलेंगी डायलिसिस की सुविधा
बलौदाबाजार-जिला में लगातार स्वास्थ्य सुविधाओं के विस्तार में बढोत्तरी हो रही है। इसी सिलसिले में आज कलेक्टर डोमन सिंह ने जिला हॉस्पिटल बलौदाबाजार में...
गर्मियों में लू से बचने के लिए सावधानी जरुर अपनाए
महासमुंद- गर्मियों में लू लगने से बीमार होने के मामले आते हैं। कुछ जरूरी सावधानियां अपनाकर इससे बचा जा सकता है। ग्रीष्म ऋतु में...
चिरंजीवी योजना में महंगे इलाज ऑर्गन ट्रांसप्लांट व् अन्य बीमारीयों को जोड़ा गया
जयपुर-मुख्यमंत्री अशोक गहलोत की बजट घोषणा के अनुरूप अब चिरंजीवी योजना में ऑर्गन ट्रांसप्लांट, बोन मेरो ट्रांसप्लांट और काॅकलियर इंम्प्लांट जैसी बीमारियों के महंगे...
बिना चीर फाड़ के सफलतापूर्वक किया गया डिस्क का आपरेशन
भोपाल-मध्य भारत में पहली बार यूनिलेटरल बायोपोर्टल इंडोस्कोपी तकनीक द्वारा बिना चीर फाड़ के गांधी चिकित्सा महाविद्यालय एवं हमीदिया चिकित्सालय, भोपाल में सोमवार को...
हिट स्ट्रोक का बढ़ सकता है खतरा गर्मी की वजह से करे यह उपाय
बलौदाबाजार- एकाएक तेज धूप से गर्मी बढ़ने लगी है जिससे हिट स्ट्रोक hit stroke का खतरा गया है। आज इस संबंध में सीएमएचओ डॉ...
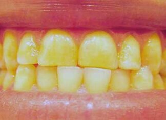
दांतो में पीलापन व् शरीर की हड्डियों में टेढ़ापन है तो इस बीमारी से...
रायपुर-दांतो में पीलापन, शरीर की हड्डियों में विकृति या टेढ़ापन,अधिक फ्लोराइड वाला पानी पीने या ज्यादा फ्लोराइडयुक्त जल से सिंचित खाद्यान्नों से फ्लोरोसिस होता...
आरटीपीसीआर जांच की सुविधा मिली जिला अस्पताल बलौदाबाजार को
बलौदाबाजार-जिला को आज स्वास्थ्य सुविधा के क्षेत्र में बड़ी सौगात मिली है। कोरोना की आरटीपीसीआर RTPCR जांच की सुविधा जिला मुख्यालय बलौदाबाजार में मुहैया...
केन्द्र सरकार देश में मेडिकल कॉलेजों की स्थापना के नियमों को सरल करे-CM गहलोत
जयपुर । मुख्यमंत्री अशोक गहलोत ने कहा कि केन्द्र सरकार देश में मेडिकल कॉलेजों की स्थापना के नियमों को अधिक सरल एवं व्यावहारिक बनाए,...
मोबाइल मेडिकल यूनिट की सुविधा अब शहर के झुग्गी बस्तियों के लोगों को मिलेगी
महासमुंद- महासमुंद के शहरी क्षेत्रों में एक मोबाइल मेडिकल यूनिट की सुविधा नगरपालिका को मिल गयी है और एक यूनिट और जल्द ही मिल...
विश्व ग्लाकोमा सप्ताह 06 से 12 मार्च तक किया जाएगा आयोजित
महासमुंद-राष्ट्रीय अंधत्व एवं अल्पदृष्टि नियंत्रण कार्यक्रम के तहत 06 से 12 मार्च 2022 तक “विश्व ग्लाकोमा सप्ताह“ world glaucoma week मनाया जाएगा। प्रतिवर्ष माह...














































